
Musculoskeletal (MSK) ultrasound has emerged as a vital imaging tool in diagnosing various conditions of the musculoskeletal system. Utilizing high-frequency ultrasound, this technique provides detailed visualization of superficial soft tissue structures such as muscles, tendons, ligaments, and peripheral nerves. Its ability to detect abnormalities due to inflammation, tumors, trauma, or deformities is unparalleled, often rivaling MRI in certain cases. When combined with patient history and clinical symptoms, MSK ultrasound can offer highly accurate diagnoses.
In this article, we will explore real-life case studies demonstrating the power of handheld ultrasound machine in MSK diagnosis. See how POCUS and portable ultrasound technology are enhancing diagnostic precision, from identifying nerve compression to assessing joint injuries.


A patient presented with pain and discomfort in the elbow following internal fixation surgery for an olecranon fracture, with a displaced screw.
The ultrasound machine revealed ulnar nerve compression at the cubital tunnel, joint effusion in the left elbow, and synovial proliferation.
In this case, the use of a portable ultrasound machine was crucial for visualizing the precise location of the nerve compression and assessing the synovial changes, enabling targeted treatment planning.

The handheld ultrasound machine indicated ulnar nerve compression in the right upper limb, likely due to synovial proliferation within the cubital tunnel and an external nerve sheath cyst in the forearm.
For healthcare professionals considering the purchase of a handheld ultrasound machine, cases like this underscore the importance of high-resolution imaging in diagnosing nerve compressions and related conditions.

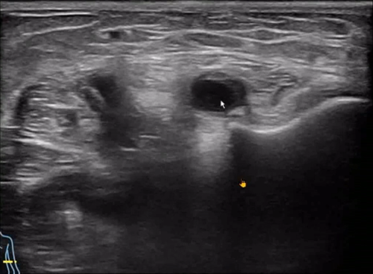
The patient experienced significant pain during wrist extension, indicative of "wrist drop."
Ultrasound revealed a "sandglass" or "sausage-like" change in the radial nerve, confirming nerve compression.
Such detailed imaging results are often critical for diagnosing and managing conditions like wrist drop, making POCUS (Point-of-Care Ultrasound) an invaluable tool in clinical practice.

A traumatic injury to the forearm caused by a dropped drill led to impaired extension of the thumb and index finger.
The handheld ultrasound machine showed significant swelling and thickening of the deep branch of the radial nerve, with disrupted and non-continuous nerve structures.
Here, the portability and precision of the ultrasound machine were essential for assessing the extent of nerve damage and guiding further management.

Post-surgery, the patient reported thumb pain, movement restriction, and numbness in the hand.
The ultrasound revealed carpal tunnel syndrome with synovial cysts compressing the recurrent motor branch of the median nerve.
For medical professionals looking to buy a handheld ultrasound machine, this case highlights the machine' s ability to detect subtle post-surgical complications that could otherwise be missed.

The patient experienced a noticeable snapping sensation in the wrist during active flexion of the interphalangeal joints.
Ultrasound detected a solid mass causing carpal tunnel syndrome.
This example showcases the role of POCUS in identifying and managing conditions like carpal tunnel syndrome, particularly in cases where traditional diagnostic methods might fall short.
Handheld ultrasound machines, such as the SonoEye, are revolutionizing the way clinicians approach MSK imaging. Here are several key aspects where these devices prove to be invaluable:
Handheld ultrasound machines are as portable as a laptop, making them ideal for use in a variety of settings, from bedside diagnostics to remote locations. Their compact size ensures that high-quality imaging is accessible anytime and anywhere, which is particularly beneficial for emergency scenarios.

Compared to traditional ultrasound systems, handheld ultrasound machines are more cost-effective, offering similar functionalities at a fraction of the cost. This affordability allows smaller clinics and practices to adopt advanced imaging technologies without breaking the bank.
Devices like the SonoEye are designed with user-friendly interfaces and streamlined workflows, making them accessible even for those new to ultrasound technology. Features such as specialized presets, intuitive controls, and customizable settings ensure that clinicians can perform efficient and accurate scans with minimal training.

Despite their small size, modern handheld ultrasound machines deliver exceptional image quality, crucial for detailed MSK examinations. This level of clarity ensures that clinicians can confidently diagnose and manage a wide range of conditions.

From guiding needle placements in nerve blocks to assessing soft tissue injuries, handheld ultrasound machines have a wide range of applications across various medical specialties. Their versatility makes them indispensable tools in modern medical practice.
For clinicians seeking a reliable and cost-effective ultrasound machine, the SonoEye handheld ultrasound machine stands out as an excellent choice. Its portability, ease of use, and exceptional image quality make it an ideal tool for performing MSK ultrasound and beyond. Whether you' re dealing with complex nerve injuries or routine musculoskeletal assessments, the SonoEye offers the precision and efficiency you need to improve patient outcomes.
If you' re looking to buy a handheld ultrasound machine that combines advanced technology with ease of use, the SonoEye is a top contender in the market. Elevate your practice with this versatile, cost-effective ultrasound solution and experience the future of medical imaging. Contact us to know more about handheld ultrasound via sonoeye@chison.com.cn.