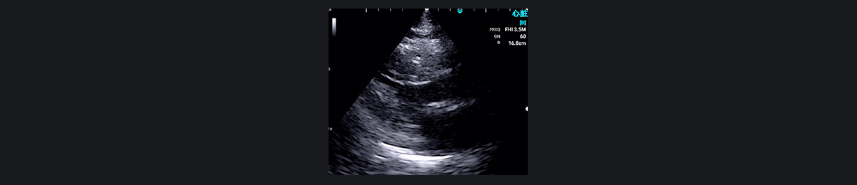
一名中年男性患者因左侧胸痛入院。快速手持超声扫描(心尖四腔视图和短轴视图)显示心尖和前壁的运动显着减少,提示 ACS。双联抗血小板治疗随后进行 PCI 证实左前降支动脉闭塞。

谈及手持超声在急救中的优势,慈溪市第六人民医院急诊科主任王杰战医生表示:“手持超声可以随时随地使用,不受空间限制。从开机到完成一个快速扫描仅需 1-2 分钟,这在时间至关重要的紧急情况下至关重要。此外,因为心脏机械损伤先于心电图变化,特别是在非 ST 段抬高或 ACS 心电图表现不典型的情况下。手持式超声提供的快速、清晰的结果让急诊医生更有信心。”
成人胸痛通常是由冠状动脉疾病引起的,但确定确切原因需要进一步调查。通过超声波成像,SonoEye 手持式超声波可以区分胸痛是否是心源性的。它在诊断心血管异常方面特别有效,例如肥厚性梗阻性心肌病、主动脉瓣狭窄、主动脉夹层、心包炎、二尖瓣狭窄和肺栓塞。

肥厚性梗阻性心肌病
对于急性胸痛等危及生命的胸痛综合征,SonoEye 可以提供关键的心脏诊断,深入了解瓣膜问题、心包疾病或原发性心肌状况。它对于评估疑似急性心肌梗死患者(心电图确认前)、血流动力学不稳定患者以及严重肺栓塞患者非常有价值。使用 SonoEye 进行综合超声心动图检查可以评估主动脉夹层的范围和并发症,寻找心包或胸腔积液,并测量主动脉根部的直径。
二尖瓣狭窄、左心房肿瘤、左心衰竭、肥厚性心肌病、心包积液或缩窄性心包炎以及严重的肺栓塞等情况均可导致呼吸短促或呼吸困难。使用 SonoEye 手持式超声波可以有效诊断这些病症。

心包积液
晕厥的原因包括先天性心脏病、肥厚性梗阻性心肌病、心尖部肥厚性心肌病、法洛四联症、完全性心内膜垫缺损、单心室、大动脉转位、冠状动脉异常和二叶式主动脉瓣等。成为原因。 SonoEye 手持式超声检查可以及时进行临床诊断,以确定晕厥的原因。

二叶式主动脉瓣
SonoEye 手持式超声波在诊断严重创伤方面表现出色。其高移动性能够快速识别活动性出血、评估心室收缩力以及将紧急焦点纳入快速检查的一部分。这显着减少了诊断和治疗创伤性心脏和胸部损伤所需的时间,为患者节省了宝贵的时间。
SonoEye 手持式超声波让医生能够进行床边随访、评估疾病进展并告知后续治疗计划。可应用于院前急救、急诊室、CCU、ICU、手术室等不中断流程的情况,为危重病人赢得宝贵的时间。
作为一款高性能便携式手持超声设备,SonoEye在超声领域的价值将不断增长。它将增强心脏急救护理和其他临床应用,在未来为患者提供更好的医疗结果和更好的服务。
通过在主要社交媒体平台上关注 CHISON SonoEye,了解有关 SonoEye 手持式超声的更多信息。如需了解定价信息,请联系sonoeye@chison.com.cn。